R2 STUDIO Q 和 R2GATE DOD(数字口腔设计)之间的协同作用
- 使用单个设备和单个软件处理复杂病例的新数字标准
- 仅需一步对患者数据进行收集&数字化处理
- 由于不需要面弓、实验室安装或手动蜡型,治疗时间最小化
- 提供高度美观和精确的修复体
 
       
      R2STUDIO 数字化工作流程
步骤01
数据收集
- CBCT(锥形束计算机断层扫描)
- 面部扫描
- 印模扫描/li>
步骤02
初始起点
- CBCT重新定位
- 自然头部就位
- 3D面部匹配
步骤03
数字口腔设计
- 面部模式分析
- 上颌前牙位置
步骤04
数据传输
- 数字面部弓
- 数字咬合板
步骤05
CAD/CAM
- 全蜡型制作
- 模型打印
- 预备导板
- 种植导板
- 一日牙齿
- 数字化修复体
数据收集(10分钟)
CBCT(锥形束计算机断层扫描)
- 宽广的20x20视野(FOV)用于创建虚拟患者
- 20x20 CBCT扫描仅需6秒
- 光导灵活视野控制
3D面部扫描
- 3D深度摄像头(1280x720)
- 独立的拍照模块
- 5秒完成全尺寸面部扫描
- 1800x848全尺寸3D文件(OBJ格式)
物体(印模)扫描
- 方便的扫描过程
- 印模扫描仅需20秒
- 自动STL转换过程
- 轻松导出模型文件(Open STL格式)
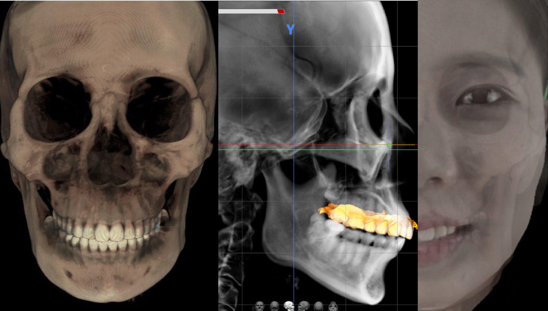
设置初始起点
- 找到中矢状面作为起点
- 将头部位置与法兰克福水平面(FH)或自然头部位置对齐
- 将3D面部扫描与对齐的CBCT结合以完成数字患者模型
 
      TMJ位置控制
- 髁突的位置能够在术后调整
- 减少因为TMJ位置变化而产生的不良影响
 
      Applications
- 种植导航&全口重建
- 美学区域的贴面
- 模型设计与打印
- 冠延长术和牙龈切除术


QVD (R2 Studio Q 垂直尺寸决策)解决方案
轻松使用R2 Studio Q创建牙科头像,并通过AI找到最佳VD
首次就诊:使用微笑创建应用进行患者咨询
 
      1 R2 Studio Q 面部扫描
使用 R2 Studio Q,您可以通过优先进行面部扫描来开始治疗过程。
2使用微笑创建器进行患者咨询
当您将面部扫描输入到微笑创建系统中时,AI 会分析面部特征并建议一个根据患者独特比例定制的理想微笑设计。
3模拟牙齿
一旦患者同意进行治疗,接下来的步骤涉及结合各种数字数据源以生成高度精确的牙齿化身。
首次就诊:QVD方案
 
      1 AI CBCT 重新定位
AI 将牙齿化身数据与法兰克福水平(F.H.)平面对齐。
2AI CBCT 头影测量分析
AI 系统自动进行 CBCT 头影测量分析,根据患者的解剖结构提供全面的测量和洞察。
3确定垂直维度 (VD)
使用 CBCT 的髁状突头位和旋转铰链,AI 驱动确定垂直维度 (VD)。
4虚拟蜡型
咬合平面确定后,系统会加载上下颌的蜡型库。
5种植规划
基于确定的蜡型进行种植定位。
首次就诊:技工室沟通
 
      1提供反映治疗计划和诊断数据的STL文件
您可以从诊所接收在牙科化身和QVD过程中创建的参考STL文件。这些文件包括上下颚的调整位置、咬合平面和蜡型。
2手术导板制作
手术导板通过整合已诊断的种植体库和工作侧扫描数据来创建。
3临时修复体制作
临时冠使用在QVD过程中提取的蜡型和咬合平面进行设计。
4设计评估
完成的临时冠应用于虚拟牙科,以重新评估美学和功能。
二次就诊:进行种植手术
 
      QVD
QVD为无牙患者确定咬合垂直维度(OVD)提供了一种简单高效的解决方案,使任何人能够轻松进入第一个临时修复阶段。
 
      - 分析患者的微笑以确定中切牙的理想位置。
- 分析患者的面部模式以确定舒适的咬合垂直维度。
- 完成的临时冠应用于虚拟牙科,以重新评估美学和功能。
 
                    



















 
      
